Mesotelioma es.Slideshare. Mesotelioma el mesotelioma maligno es una neoplasia maligna muy agresiva que se origina en el mesotelio de la cavidad pleural, peritoneo, epidídimo y peritoneogarcÍa, granados martín y herrera Ángel. Manual de oncologia. Procedimientos médico quirúrgicos.4ta ed. Mac graw hill. Pag 547 3. Epidemiologia.

Sintomas do mesotelioma. Os sintomas de mesotelioma podem incluir tosse seca que não desaparece, dificuldade para respirar, falta de ar, fadiga e dor abdominal.Os sintomas podem ser diferentes, dependendo do tipo de amianto que o causa, podendo ser vagos e leves, mesmo quando a doença evolui a uma fase posterior. Uma história de luta pela vida abrea. A eternit, líder de mercado no brasil no segmento de coberturas, com atuação também nos segmentos de louças e metais sanitários, caixas d'água e painéis cimentícios, informa que deixou de utilizar a fibra mineral crisotila (amianto) como matériaprima na produção de telhas de fibrocimento. Mesotelioma es.Slideshare. Mesotelioma el mesotelioma maligno es una neoplasia maligna muy agresiva que se origina en el mesotelio de la cavidad pleural, peritoneo, epidídimo y peritoneogarcÍa, granados martín y herrera Ángel. Manual de oncologia. Procedimientos médico quirúrgicos.4ta ed. Mac graw hill. Pag 547 3. Epidemiologia. Siglas_medicas [laenfermeria wiki]. Este apartado de siglas y abreviaturas médicas, es en si mismo un importante recurso dentro del archivo documental, de interés tanto para las personas vinculadas al mundo de la salud (técnicos, diplomados, licenciados), como, particularmente, a los documentalistas sanitarios, ya que en su día a día codificando informes de alta, se encontrarán frecuentemente con términos abreviados, por. Tratamiento del mesotelioma maligno (pdq®)versión para. El mesotelioma maligno es una enfermedad por la que se forman células malignas (cancerosas) en el revestimiento del tórax o el abdomen. La exposición al amianto (asbesto) influye en el riesgo de mesotelioma maligno. Los signos y síntomas de mesotelioma maligno incluyen dificultad para respirar y. Síntomas de cáncer de pulmón (pulmonar) primeros. Síntomas del cáncer de pulmón. Tratamiento y causas. Información sobre qué señales frecuentes tiene el tumor pulmonar, los quistes y los pólipos, y primeros signos típicos de neoplasia y carcinoma avanzado y terminal en adultos y niños. Con fotos e imágenes. Open journal systems revistamedica.Imss.Gob.Mx. El mesotelioma maligno pleural (mmp) es un tumor de origen ocupacional, atribuido en el 85 % de los casos a la exposición a cualquier tipo de fibra de asbesto. Se presenta con mayor frecuencia en hombres y su pronóstico es sombrío y fatal a corto plazo. Quadro de pessoal atp.Pt. Tipo_de_código_actividade reg_reforma_aplicado_reduzido cirs tipo_de_prestador resultado reivindicação id_greve doenças_prof. Actividade_desenvolvida.

Ver Precios De Autos Tesla
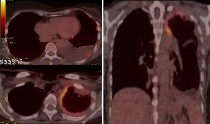
Vida, muerte y sufrimiento amianto un asesino que se toma. El mesotelioma pleural cursa con derrame pleural, disnea y dolor torácico. Puede acompañarse de derrame o engrosamiento pleural. Cáncer de pulmón el cáncer de pulmón por exposición al asbesto puede pertenecer a cualquier tipo histológico, y su historia natural no difiere de la del cáncer producido por otras causas.
Kit caseiro natural anticancer + orientações personalizadas. Comprei o kit completo em agosto de 2016, mas comecei a usar em dezembro de 2016, quando comecei eu estava com 100 kilos, hoje estou com 83 kilos, a perca de peso me assustou, mas reconheço q não estou fazendo 100% do protocolo, não estou tomando os suplementos, não estou fazendo o enema de café, gostaria de substituir o enema por uma chá, estou comendo no almoço e jantando. Tumores hepáticos sólidos comunes artículos intramed. Esta revisión analiza las diversas características de las lesiones hepáticas sólidas más comunes y las recomendaciones prácticas para el diagnóstico. Cáncer wikipedia, la enciclopedia libre. Cáncer es el nombre común que recibe un conjunto de enfermedades relacionadas en las que se observa un proceso descontrolado en la división de las células del cuerpo. [1] según la definición de rupert allan willis, un patólogo australiano, una neoplasia es una masa anormal de tejido cuyo crecimiento excede del de los tejidos normales y no está coordinado con estos, y que persiste del. A cura natural do cancer de pulmao ou cancer pulmonar. Aviso legal todas informações neste site não devem ser consideradas como aconselhamento médico. As informações e os produtos neste site devem ser utilizadas para complementar os tratamentos que lhe foram dados pelo seu médico, e não substituílos. Mesotelioma pleural maligno neumosur. Mesotelioma pleural maligno 651. Cosa menor de 50 mg/dl y un ph menor de 7,20. A veces contiene altas concentraciones de ácido hialurónico, lo que se ha propuesto. José mª arrinda yeregui historia natural del mesotelioma. Historia natural del mesotelioma pleural el asbesto como factor causal necesario la historia natural del mesotelioma pleural (mp), es bien conocida pero su patogenia es todavía en gran parte desconocida. El mp es el mesotelioma más frecuente y guarda estrecha relación con la exposición al asbesto. Los máximos niveles de exposición son. ¿qué es el amianto o asbesto? Mesotelioma mas. Otra enfermedad es el mesotelioma maligno, otro tipo de cáncer, pero en este caso, afecta a la pleura y al peritoneo. Por lo general, se administra en personas que han estado expuestas al amianto para el trabajo, aunque los síntomas pueden no ocurrir hasta 20 o 30 años después de la exposición.
Aafhospitalaria.Ar. Cie10 ocupante de automovil lesionado por colision con tren o vehiculo de rieles pasajero lesionado en accidente de transito ocupante de automovil lesionado por colision con otros vehiculos sin motor conductor lesionado en accidente no de transito. 50 cosas que hay que saber sobre genetica mark henderson. Vivimos una auténtica revolución en el conocimiento humano. Desde que nuestra especie es capaz de elaborar un razonamiento complejo, nos hemos preguntado de dónde venimos, por qué nos comportamos como lo hacemos, cómo actúan nuestros cuerpos en la enfermedad y la salud, y por qué nos parecemos tanto unos a otros aunque, al mismo tiempo, somos muy distintos y poseemos una. Gonzalo millan c. &Amp; asociados, auditores y consultores de. Hotellosveleros. Dentro del marco de la legislación laboral colombiana, el legislador estableció la posibilidad de que las partes acordaran como remuneración por los servicios prestados el pago del salario integral, en el que se incluyeran el salario básico más las prestaciones sociales (auxilio de cesantía, intereses a las cesantías, prima de servicios). Tratamiento de los cánceres poco comunes en la niñez (pdq. Los cánceres poco comunes en la niñez son cánceres que casi no se observan en los niños. Para detectar (encontrar), diagnosticar y estadificar los cánceres poco comunes en la niñez, se utilizan pruebas. El cáncer se disemina en el cuerpo de tres maneras. El cáncer se puede diseminar desde. Meso 4 sept definitiva osalan.Euskadi.Eus. Diagnóstico mesotelioma sujetos expuestos sin patología pleural rodríguezportal ja, asensio cruz m, arellano orden e,díaz baquero a, león jiménez a,isidro montes i, cebollero rivas p, diego roza c, rodríguez panadero f, rodríguez becerra e. Niveles séricos de mesotelina. Valor pronóstico en mesotelioma pleural maligno. Rev esp patol. Mesotelioma, qué es y causas salud al día. La media de supervivencia de los afectados por un mesotelioma maligno está entre los seis y los 18 meses. Causas del mesotelioma el asbesto nombre comercial de un mineral formado por sílice, magnesio, cal y óxido ferroso, también conocido como amianto , es la principal causa del mesotelioma, habiéndose demostrado su capacidad. Mesotelioma peritoneal relato de caso e revisão da. Mesotelioma é uma neoplasia maligna rara originada da superfície das células mesoteliais das membranas serosas, tais como pleura e peritônio. Relatase o caso de um mesotelioma maligno de peritônio em um paciente do sexo masculino de 60 anos, que foi submetido a exames de imagens e laboratoriais devido a um discreto aumento.
Open journal systems revistamedica.Imss.Gob.Mx. El mesotelioma maligno pleural (mmp) es un tumor de origen ocupacional, atribuido en el 85 % de los casos a la exposición a cualquier tipo de fibra de asbesto. Se presenta con mayor frecuencia en hombres y su pronóstico es sombrío y fatal a corto plazo.
Coche Automatico Marchas
Manual neumol 1196 ins.Es. IntroducciÓn la neumología es la parte de la medicina que se ocupa de la prevención, diagnóstico y tratamiento de las enfermedades del aparato respiratorio. Mesotelioma pleural maligno aocc.Ar. Mesotelioma maligno avanzado (estadios ii, iii y iv) •opciones de tratamiento estándar •tratamiento sintomático que incluya drenaje de derrames, pleurodesis con tubo torácico o pleurodesis toracoscópicaresección quirúrgica paliativa en pacientes seleccionados. •Se debe considerar la radioterapia paliativa en los pacientes con dolor. Historia natural del mesotelioma pleural el asbesto como factor. Historia natural del mesotelioma pleural en más de la mitad de los pacientes la primera expresión clínica del mp es un derrame pleural acompañado de disnea y dolor torácico. Con frecuencia los hallazgos citológicos iniciales del derrame son negativos, aunque el aspecto serohemático del mismo es una constante. Mesotelioma maligno historia natural image results. More mesotelioma maligno historia natural images. Mesotelioma maligno slideshare. El mesotelioma maligno pleural (mmp) es un tumor de origen ocupacional, atribuido en el 85 % de los casos a la exposición a cualquier tipo de fibra de asbesto, orininado en las celulas de revestimiento de la cavidad pleural y peritoneal asi como tambien en el pericardio. 3. Exposición al asbesto y el riesgo de cáncer national. Asbesto es el nombre que se da a seis minerales de origen natural que existen en el medio ambiente como manojos de fibras que pueden separarse en hilos delgados y duraderos para usarse con fines comerciales e industriales. Estas fibras son resistentes al calor, al fuego y a las sustancias químicas. Smeo. Introducción todo el panel ( 2 min) tamizaje en cáncer de próstata dr. Zael santana riós ( 23 min) diagnóstico inicial ante la sospecha en cáncer de piel dr. Arturo delgado herrera ( 23 min).
Asbesto Ques
Relato de caso mesotelioma maligno de pleura com associação. Lioma maligno de pleura. Diagnóstico definitivo realizado com fragmentos provenientes da peça cirúrgica por meio de microscopia eletrônica que mostrou presença de microvilosidades características de células neoplásicas mesoteliais. Diagnóstico definitivo mesotelioma maligno de pleura do tipo epitelial. ¿cuáles son los factores de riesgo para el mesotelioma. El mesotelioma peritoneal, que se forma en el abdomen, puede resultar de toser y tragar las fibras de asbesto inhaladas. Muchas personas están expuestas a niveles muy bajos de amianto natural en el aire exterior en polvo que proviene de rocas y suelos que contienen amianto. Cáncer de pulmón wikipedia, la enciclopedia libre. El cáncer de pulmón es un conjunto de enfermedades resultantes del crecimiento maligno de células del tracto respiratorio, en particular del tejido pulmonar, y uno de los tipos de cáncer más frecuentes a nivel mundial. [1] el cáncer de pulmón suele originarse a partir de células epiteliales, y puede derivar en metástasis e infiltración a otros tejidos del cuerpo. Mesotelioma maligno national cancer institute. El mesotelioma maligno es un cáncer de la capa delgada de tejido (mesotelio) que reviste los pulmones, la pared del tórax y el abdomen. La exposición al amianto (asbesto) es uno de los factores principales de riesgo de mesotelioma. Para obtener más información sobre el tratamiento del. Mesotelioma pleural maligno gaceta mexicana de oncología. El mesotelioma pleural maligno es una neoplasia con gran mortalidad de 99% a 5 años, con pocas expectativas de tratamiento, enfrentándose a diferentes problemas como son la rareza del padecimiento, la dificultad para estadificarla, la naturaleza agresiva, poca sensibilidad a quimioterapia. Cáncer comunidad de madrid. El cáncer no es una enfermedad, sino más bien muchas enfermedades. De hecho, hay unos cien tipos diferentes de cáncer o tumores. Todos los cánceres empiezan en las células. Las células son las unidades básicas que forman los tejidos del cuerpo. Para entender mejor qué es el cáncer, es necesario saber cómo las células normales se vuelven cancerosas. Mesotelioma maligno do peritoneu researchgate. O mesotelioma maligno do peritoneu é um tumor raro (12 casos em cada milhão de habitantes por ano) (1), sendo que o atingimento peritoneal isolado se limita a 1020% dos casos (2). A sua. Medicinanet. A; a00 cólera; a01 febres tifóide e paratifóide; a02 outras infecções por salmonella; a03 shiguelose; a04 outras infecções intestinais bacterianas.







0 comments:
Post a Comment